
眼睛是心灵的“窗户”,眉毛是窗前的风景。但这“风景”也有可能出现异常,“眉弓皮样囊肿”就是这样一种异常。
“眉弓皮样囊肿”是儿童常见的眶周疾病,大多长在眉弓的外侧,表现为半球形鼓起一个“小包”。孩子一般没有不适感,经常是家长无意间发现。

皮样囊肿(dermoidcyst),顾名思义,就是囊肿像皮肤一样。皮肤怎么会长到肉里面去呢?这是由于胚胎时期本来应该发育到体表的皮肤遗留于深层组织中并发展而形成囊肿。

眉弓皮样囊肿由囊壁与囊内容物组成。囊壁较厚,类似于皮肤结构,含有毛囊和皮脂腺。囊内容物为脱落的上皮、皮脂腺分泌物以及毛发。皮肤及皮肤附属物是皮样囊肿的两个主要特征。
形象点说皮样囊肿就像“皮肤向内反转形成的“皮球”,而且还是一个“活着”的,处于生长状态的“皮球”。

眉弓皮样囊肿属于皮肤先天发育异常,是由偏离原位的皮肤细胞原基所形成的囊肿,是一种先天性的良性肿瘤。也就是说孩子出生时这个囊肿就已经存在了,只是由于囊肿小不被注意,随着囊肿逐渐增大突出而被发现。
眉弓皮样囊肿多表现为直径1~2cm的皮下结节,表面与皮肤无粘连,但基底部固定,不易推动。囊肿质韧,略带弹性,无搏动、无压痛。
眉弓皮样囊肿一般增长缓慢,会向体表突出,也会向深方生长压迫颅骨,甚至部分凹陷进骨壁,就像镶嵌在“皇冠👑”上的一枚“宝石”。但这枚“宝石”不仅不会为外貌增色,反而会影响面容。
囊肿较大者可影响上睑形状,眼眶边缘的囊肿可能对视力产生潜在影响。囊肿一般不会恶变,但存在破裂或继发感染的机会。

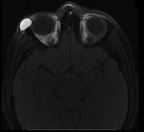
眉弓皮样囊肿通过医生的体格检查即可诊断,影像学检查可对该病的诊断提供重要支持。超声检查对评估囊肿的大小、范围、囊内容物的性状有一定帮助。CT即可看到囊肿又可显示骨骼,对于评判囊肿与颅骨的情况有重要意义。MRI检查则更有利于观察囊肿与眼眶周围软组织的关系。

眉弓皮样囊肿,不能自行消退,手术切除是唯一的治疗方法。囊肿的基底若与骨面紧贴,宜连同该部骨膜一并切除。如有骨组织存在严重凹陷、缺损变形等畸形,可进行组织移植填充,以恢复正常外观。
手术时机根据囊肿位置、大小、生长速度,综合判断。对于生长速度较慢的小囊肿可以观察,如果囊肿生长速度较快或囊肿直径已经超过1.0cm,建议尽早手术。眉弓皮样囊肿会压迫颅骨在局部形成颅骨凹陷,尽早手术切口小,不需要局部组织填充修复,效果好,美观。一般手术年龄建议在1岁左右。
眉弓皮样囊肿属于颜面部范畴,对于颜面部肿物的治疗不仅要考虑手术切除病灶,还要考虑手术本身对容貌的影响。因此对于眉弓皮样囊肿手术,切口的设计和整形技术的应用也同样重要。
将切口设计在眉毛与皮肤交界或皮肤天然皱褶等隐蔽处,并采用顺皮纹切口,充分利用整形外科技术,在彻底切除囊肿的同时保护眉毛,修复眉弓,美容缝合,减轻瘢痕,达到治疗和美容的双重效果。

眉弓皮样囊肿手术存在较低的复发率,术中避免囊肿破裂,完整切除,可降低复发几率。


